心脏可吸收封堵器+隐形切口,鱼和熊掌可兼得的时代来了!
2019-10-29
浏览次数(5505)
合适
合适
手机阅览

孩子患上先天性心脏病,只要能治好就是万幸了,谁还在乎手术刀在胸口留下的伤疤啊!医学专家在乎,他们对更高标准的追求从来都没有止步!


10月22-23日,华中阜外医院科研与学科建设部主任、河南省儿童心脏中心主任范太兵教授等专家带领团队,从腋下入路,运用可降解封堵器,先后为2名患儿实施了心脏室缺封堵术!








该术式从腋下入路,就可以实现切口“隐形”;使用聚乳酸可吸收封堵器,就可以使体内不保留金属异物。采取这种术式,既能矫正先心病,还能把手术的创伤降到最低。华中阜外医院连续实施两例该类型手术,标志着儿童先心手术迈入鱼和熊掌可兼得的时代!





第一个幸运的女孩叫可可,来自永城市,仅1岁零4个月大。1年前到社区打疫苗,查体时发现心脏有杂音。家人带她去医院做了彩超等检查后,发现孩子患有室间隔缺损。


第二个幸运的孩子叫默默,来自郑州市高新区,1岁6个月大。孩子出生后体检,医生发现心脏有杂音,在郑州某医院做心脏超声,查出室间隔缺损。


随着孩子体重不断增加,孩子心脏负荷也会越来越大。如果室间隔缺损的问题长期得不到纠正,孩子的心脏将会受损,影响生长发育,甚至对生命安全埋下隐患。孩子患有先心病,家人很着急。经过多方了解,两个孩子的家长不约而同地都选择来华中阜外医院儿童心脏中心找范太兵教授做手术。


鉴于孩子太小,而且还都是女孩,经过反复论证,范太兵教授决定从腋下入路,运用可降解封堵器,为她们实施心脏室缺封堵术。


手术正式开始,华中阜外医院儿童心脏中心主任范太兵教授、李斌副主任医师、宋书波博士等专家精准操作,在患儿腋下切开一个小小的切口,先后为她们实施了“可降解封堵器行室缺封堵术”。


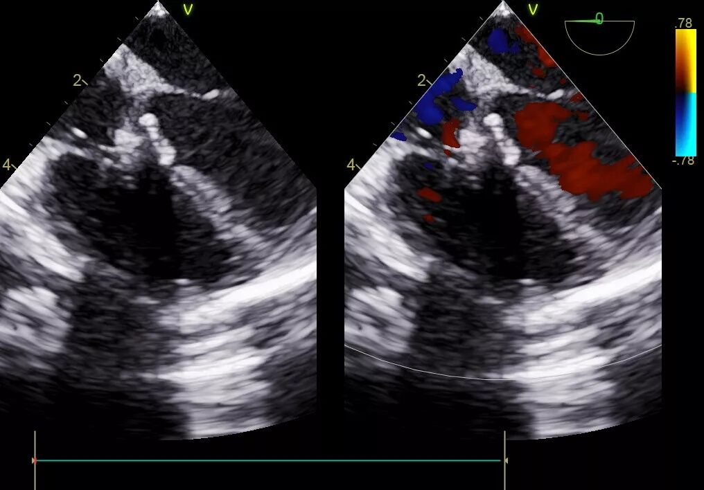
术后超声结果显示,室间隔无残余分流,手术成功!术后第二天,两个孩子均转到普通病房。目前,她们各项生命体征正常,几天后即可康复出院。






可可术前心脏超声






可可术后心脏超声




作为可吸收房间隔、室间隔缺损封堵系统,治疗房缺、室缺的安全性和有效性临床实验的主要研究者,范太兵教授说,可降解封堵器的材质是聚乳酸,几个月后开始缓慢降解,分解成为乳酸,被人体消化吸收,生成水和二氧化碳排出体外。与此同时,心脏内膜组织会沿着封堵器慢慢生长,在封堵器完全降解之前,人体自身心脏内膜组织会自动将房缺完全补好,不留下任何异物残留。