全球最小无导线胶囊起搏器植入心脏,45岁货车司机重掌人生方向盘
2025-11-28
浏览次数(1122)
手机阅览

推进国家区域医疗中心建设

11月28日,国家心血管病中心华中分中心主任、阜外华中心血管病医院院长袁义强,心律失常二病区副主任陈珂、副主任医师宋卫锋等专家,成功实施无导线起搏器植入术。

手术使用的Micra无导线起搏器类似于胶囊大小,重量仅有1.75g,比普通起搏器体积减小93%,电池续航能力寿命超过12年,是全球最小的无导线胶囊起搏器。更难得的是,使用该起搏器的患者还可以安全高效地接受核磁共振检查。


患者李先生是家里的顶梁柱,开货车跑运输年。数天前,他在送货途中突然感到胸闷气短,紧接着眼前一黑失去意识,几秒钟后才自行恢复。这次惊险经历让他心有余悸,可类似的间断性意识丧失随后又发生了次。

在当地医院检查后,心电图结果给出了明确答案——三度房室传导阻滞,这意味着他的心脏电路系统出现严重故障,心房信号无法正常传递到心室,随时可能引发心跳骤停,必须尽快植入起搏器

医生说植入起搏器需要在胸部做切口,植入脉冲发生器并通过导线连接心脏,不仅术后胸口会留下疤痕,日常生活中还要警惕导线脱位、感染等并发症。对以体力劳动为生的货车司机来说频繁的上肢活动也极大的增加了导线磨损的风险。

抱着最后一丝希望,李先生来到阜外华中心血管病医院就诊。袁义强教授、陈珂副主任、宋卫锋副主任医师等专家团队经过全面评估认为,李先生的情况完全符合无导线起搏器植入指征,这种全球领先的技术正是破解他治疗困境的最佳选择。

推进国家区域医疗中心建设

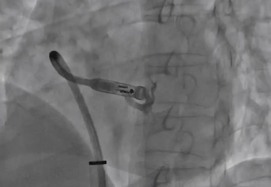
1128日上午,杂交手术室内气氛专注而有序。袁义强教授带领陈珂、宋卫锋等专家,开始实施这场毫米级精准的手术。与传统手术不同,整个过程没有胸部切口,无囊袋、无需全麻,仅在患者大腿根部股静脉进行微创介入穿刺

手术团队在超声和DSA的双重精准引导下,将装载着Micra无导线起搏器的输送系统沿血管缓缓送入心脏。它无需导线和皮下脉冲发生器,术后患者不仅可以正常洗澡、运动,还能安全接受核磁共振检查,彻底打破了传统起搏器的使用限制。

推送、调整、释放,每一步都要精准到0.1毫米。陈珂副主任介绍,手术团队凭借丰富的介入经验,操控着输送系统在血管中导航,最终将起搏器稳稳固定在李先生的右心室间隔部。经过现场测试,起搏器感知灵敏、起搏功能正常,原本紊乱的心脏节律瞬间恢复平稳。

整个手术历时30分钟,出血量不足5毫升,术后李先生即刻清醒,当天就能下床活动。相信在医护人员的精心呵护下,李先生很快就能回归正常生活,重掌人生方向盘。

李先生的手术刚顺利完成,袁义强教授又带领陈珂、宋卫锋等专家,又为一名51岁的阵发性心房颤动患者,成功实施了射频消融手术,解决了他头晕、心悸、胸闷的问题。

推进国家区域医疗中心建设


袁义强教授表示,三度房室传导阻滞是严重的心律失常,若不及时治疗,患者可能面临心衰、中风甚至猝死风险。对于李先生这样的中青年患者,无导线起搏器的优势尤为突出:无切口减少了感染风险,无导线避免了电极相关并发症,超长续航降低了更换手术带来的身心负担,特别适合对生活质量要求高、不耐受传统起搏器的人群。

陈珂副主任和宋卫锋副主任医师介绍,Micra无导线起搏器通过模拟正常心脏传导机制工作,经股静脉入路的植入方式实现了“微创中的微创”,其安全性和有效性已得到国际临床研究的充分验证。阜外华中心血管病医院作为国家区域医疗中心建设单位,已常规开展很多此类高难度手术,为众多高龄、高危及中青年心律失常患者提供了更优质的治疗选择。






|文稿:邢永田|

|视频:谢紫村|


袁义强



主任医师、教授、博士生导师

河南省政协委员,国家心血管病中心华中分中心主任、阜外华中心血管病医院院长

国务院政府特殊津贴专家河南省学术技术带头人、健康中原好卫士

专业方向:心血管疾病的临床诊断和介入治疗。在河南省内率先开展了左心耳封堵术、经导管主动脉瓣置换术(TAVR)、三维立体定位下房颤射频消融术等高难度领先技术。

科研成果:发表论文100余篇,其中SCI论文30余篇,专著4部。获省市科技进步奖和科技成果奖15项,目前承担科研项目10余项。

社会兼职:中华医学会心血管内科分会委员

中国医师协会心血管内科医师分会委员会委员

中国医疗保健国际交流促进会心脏重症专业委员会常务委员

中国老年保健医学研究会老年心血管分会副主任委员

中华医学会心电生理和起搏分会中青年电生理工作委员会常务委员

中国房颤中心联盟左心耳封堵工作委员会副主任委员

中国医疗保健国际交流促进会心脏重症专业委员会河南分会主任委员

河南省医学会副会长

河南省医师协会副会长

河南省房颤中心联盟主席

河南省医学会心电生理与起搏分会主任委员

河南省医学会心血管内科分会侯任主任委员

河南省医师学会心血管分会副主任委员

陈珂



医学博士,副主任医师,硕士研究生导师。

阜外华中心血管病医院心律失常二病区副主任。

专业方向:各类心律失常介入治疗,累积完成导管消融及左心耳封堵术一万余例。

科研成果:主持省厅级科研项目3项,获国家实用新型专利2项,以第一/通讯作者在《Heart Rhythm》等杂志发表论著10余篇,其中1篇被国际房颤管理指南引用,1篇被国际电生理教科书引用。

社会兼职:国家卫健委心律失常介入培训导师,中华医学会心血管病学分会房颤学组委员,中国生物工程学会心律失常分会青年委员,中华中医药学会心血管病学分会委员,河南省医学会心电生理与起搏学分会委员,河南省医学会心血管病学分会青年委员,2019年荣获共青团河南省委“河南省青年岗位能手”。