全国首例起搏器术后“经导管二尖瓣+三尖瓣一站式钳夹术”成功实施,心衰患者转危为安
2025-12-09
浏览次数(1012)
手机阅览


推进国家区域医疗中心建设

耄耋之年遭遇危重心脏瓣膜病,二尖瓣、三尖瓣大量反流伴严重心衰,连走路都气喘吁吁;更棘手的是,此前植入的心脏起搏器导线还影响了瓣膜闭合,让治疗难上加难。

12月8日,国家心血管病中心华中分中心主任、阜外华中心血管病医院院长袁义强教授带领结构性心脏病一病区主任刘煜昊教授、陈同峰副主任医师等专家团队,为一名82岁起搏器术后患者实施经导管二尖瓣+三尖瓣钳夹手术,修复了他受损的心脏。据悉,成功完成一站式起搏器术后“经导管二尖瓣+三尖瓣钳夹术”,系全国首例。

今年82岁的老先生,多年前因病情需要植入心脏起搏器,术后生活一直平稳。可近段时间,他却被莫名的胸闷、气喘缠上,活动能力急剧下降,哪怕是短距离行走,都要喘上好一阵子,严重时甚至无法平躺休息。家人带着他辗转求医,最终确诊为心脏瓣膜病——二尖瓣、三尖瓣均出现大量反流,进而引发严重心力衰竭,这正是导致他胸闷气喘的根源。

更具挑战性的是,老先生的病情存在特殊难点:起搏器导线长期影响三尖瓣闭合,加重了反流症状,且他同时合并退行性二尖瓣反流(DMR)。这种双瓣大量反流+起搏器术后的复杂病例,在国内尚无经导管一站式修复的成功先例,治疗难度极大。若采用传统开胸手术,老人年龄大、身体耐受度差,手术风险极高;而单纯药物治疗,又难以从根本上解决瓣膜反流问题,无法逆转心衰进程。

推进国家区域医疗中心建设


面对这一临床难题,医院迅速组织多学科专家联合会诊。团队反复研讨病情,精准评估患者心脏功能、瓣膜形态及起搏器导线位置,最终敲定“经导管二尖瓣+三尖瓣钳夹一站式手术”方案,并决定采用国产先进钳夹器械,在微创条件下完成双重修复,最大限度降低手术创伤。

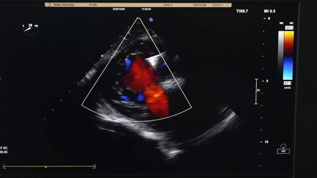
手术当天,袁义强院长、刘煜昊主任、陈同峰博士等专家凭借精湛技术,通过股动脉、股静脉穿刺建立微创通道,将纤细的器械精准送达心脏瓣膜位置。术中,专家团队既要避开起搏器导线的干扰,又要精准定位瓣膜反流靶点,操作难度堪比 “在心脏里穿针引线”。经过数小时的精细操作,成功为患者完成二尖瓣、三尖瓣钳夹修复。

术后监测数据令人振奋:二尖瓣、三尖瓣反流几乎消失,达到理想治疗效果。如今,老先生胸闷、气喘的症状已彻底缓解,能够自主活动,精神状态明显好转,很快就能康复出院。



此次全国首例起搏器术后经导管二尖瓣+三尖瓣一站式钳夹术的成功实施,标志着阜外华中心血管病医院在结构性心脏病微创治疗领域达到国内领先水平。医院将持续聚焦临床疑难病症,不断探索技术创新,让更多危重心脏病患者通过微创技术获得高质量治疗,为守护群众 ” 健康筑牢坚实屏障。

END



|文稿:邢永田|