河南首例!冷冻消融让复杂房性心动过速患者重获新生
2026-04-02
浏览次数(4)
手机阅览
图片
推进国家区域医疗中心建设
图片

近日,阜外华中心血管病医院心律失常三病区赵永辉主任医师的门诊迎来一位特殊的复诊患者。一进门,患者的母亲就快步走上来紧紧握着赵主任的手,眼中含着泪花,激动地反复表达感谢。赵主任看到患者,一段清晰的记忆涌上心头……

34岁的杨先生正处于年富力强的年纪。然而从2023年开始,他的心脏却亮起了令人担忧的红灯。一系列复杂的诊断接踵而至,像一道道沉重的枷锁:房性心动过速,心动过速性心肌病、心力衰竭(心功能IV级)。心动过速,是这一系列问题的风暴中心。

为了治好令他心律紊乱的房性心动过速,他两年前接受了经导管心脏射频消融术。然而,术中的心脏电生理检查揭示了一个更为棘手的状况:异常的心电信号,其“起源地”被精确定位在了心脏结构一个特殊部位——右心耳。针对这种特定位置的房速,常规的射频消融风险极高,往往投鼠忌器,难以彻底解决问题。

起源于右心耳根部房速(三维激动标测)

为此,刘先生四处打听,最后慕名来阜外华中心血管病医院进行治疗,心律失常三病区赵永辉主任、臧小彪主任医师、赵智晗副主任医师、王磊主治医师了解病情后经过反复研讨,结合患者心脏解剖特点和丰富的消融经验,一个新的技术方案出炉:冷冻消融。冷冻消融术以其贴靠更稳定、紧密,透壁性更好的特点,所以更高效安全,成为了一个在心耳处消融的新选择。

经过充分的术前准备,赵永辉团队凭借精湛的技术,在全麻下进行了冷冻球囊消融术。手术进行得十分顺利,术中患者的心跳即刻恢复了正常,整个手术时间不足两小时。

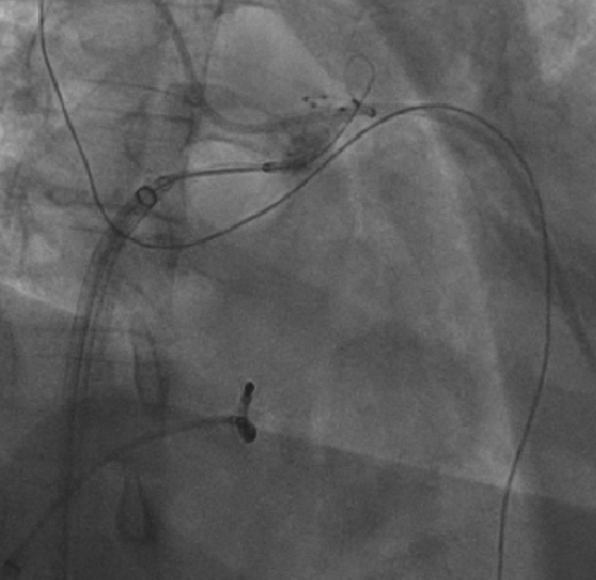
冷冻消融球囊紧贴右心耳消融中(X线影像)

术后1个月的时间,患者从日常生活在病床上喝水吃饭都乏力闷气,变为可以和家人好友结伴出行旅游。心功能以及心脏大小均恢复正常。

赵永辉主任医师表示:起源于右心耳的房性心动过速电生理机制并不复杂但较为罕见,同时消融难度显著高于其他部位房速。主要面临两大挑战:一是心耳解剖变异大、房壁薄弱,射频导管操作易致穿孔;二是心耳内梳状肌丰富,消融导管难以稳定贴靠。既往对经导管射频消融失败的患者,通常采用外科开胸的方法,切除,结扎或电凝左心耳以根治该部位房速,但创伤大,恢复慢。 

专家们借鉴经导管冷冻消融治疗房颤的经验,创新性地对病灶部位进行节段性消融,既消除了病灶,又保留了左心耳的收缩功能。本病例作为河南省首例冷冻消融右心耳房速,此创新方法创伤小,效果安全可靠,为此类解剖复杂心律失常提供了新的治疗手段。

经了解,此种罕见病例创新的手术方式,标志着阜外华中心血管病医院在心律失常的诊断和治疗方面达到国内领先水平,始终为中原地区广大患者的生命健康保驾护航。


END






|文稿:王   磊|