小酌怡情?大酒伤“心”!
2023-03-31
浏览次数(6669)
合适
合适
手机阅览

小酌怡情?大酒伤“心”!


白日放歌须纵酒,青春作伴好还乡。

人生得意须尽欢,莫使金樽空对月。


从诗仙和诗圣的千古佳句里,我们可以看出,“酒”作为一种普适性饮品,古往今来都备受推崇,甚至衍生出所谓的“酒文化”。在中国式的酒桌文化里,我们也总是把酒和情谊、胆识挂钩,而今天,我们把酒和心脏放在一起掂量掂量。



小韩,男,41岁,以“活动后胸闷2周”为主诉入院,以下为小韩与医生的部分对话:

小韩:医生,我很健康,从来没有住过院,为什么会出现您所说的左室射血分数才19%的情况?活动后总是有胸闷 、气短呢?

医生:您平常有吸烟、饮酒么?

小韩:我从来不抽烟,但喝酒有10多年了,几乎每天都喝,一是工作需要,二来自己也喜欢喝。

医生:每次大概喝多少呢?

小韩:至少半斤吧。

在医生的建议下,小韩住院进行了详细而全面的检查,最终确诊为“酒精性心肌病”!

什么是酒精性心肌病?

酒精性心肌病的发病与长期大量的酒精摄入有密切关系,多发生于30~55岁的男性,一般发病者都有5年以上的酗酒史(世界卫生组织的诊断标准:酒精摄入量女性>40g/天,男性>80g/天,五年以上)。判断该病的主要依据首先是患者有长期大量饮酒的经历,继而出现心脏扩大、心力衰竭。在此基础上,若能排除其它心脏病发病原因,即可考虑是该病。

酒精性心脏病的主要表现?

主要表现为心力衰竭。长期过量饮酒,心脏会随之增大,进而出现胸闷、气短、活动耐量下降等心力衰竭的表现,严重者可危及生命。此外,过度饮酒还会导致心律失常,最常见的表现为心房颤动。

     

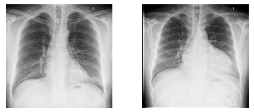
正常的心影                                                    扩大的心影


怎么治疗酒精性心肌病?

酒精性心肌病是由于酒精及其代谢产物对心肌的直接和间接作用,导致心肌的收缩性受到抑制,心肌细胞发生重塑。因此该病最根本的治疗方法是戒酒

戒酒以外,药物也是酒精性心肌病重要治疗手段,常用如血管紧张素转化酶抑制剂、β受体阻滞剂甚至小剂量洋地黄等,都可起到较好的治疗效果。患者一定要遵医嘱服药,定期复查,切勿随意停药减药

在平时的生活中,注意饮食营养,多食新鲜蔬菜、水果类;饮食宜清淡,少食多餐,禁忌烟酒、辛辣、浓茶、咖啡等刺激性食品,也会对治疗起到积极的辅助作用。

多数患者经积极治疗及戒酒后

可望获得病情缓解甚至痊愈!


供稿  冠心病一病区  阙静

审稿  朱贺变