一个再平常不过的上午,内镜中心一如既往的忙碌有序。CCU传来一条急会诊信息:一位104岁老人疑似进食时误将食物吸入气管,随即出现呼吸困难,情况危急。初闻及此,内镜中心在场的医护都倒吸了一口凉气,取异物倒是司空见惯,但是如此高龄的患者倒是第一次遇到。
麻醉医生、内镜医生火速赶到现场。只见这位百岁老人半卧于病床上,面容痛苦,呼吸费力且急促,吸氧状态下口唇依然发紫,监护仪也持续发出刺耳的报警声,提示患者氧饱和度低于正常值,甚至一度跌至75%,老奶奶看起来随时可能呼吸衰竭。进一步查阅病历,患者基础病同样复杂,冠心病,多支血管狭窄,一年前活动时摔倒导致下肢骨折已经卧床一年。
会诊后的消息传回内镜中心,护理团队迅速行动起来,内镜设备调至功能位,各型号支气管镜、急救物品、药品悉数摆放整齐。在等待患者转运的间隙,医、护、麻三方迅速制定治疗方案,为老人争取每一线生机。
随着匆匆的脚步声和车轱辘的滚动声越来越近,整个内镜室的气氛也逐渐紧张起来。患者入室后,连接监护、面罩吸氧,护士迅速为患者建立静脉通路,内镜医生手持气管镜立于床头,两名护士将取异物所用器材摆放至手边,随着麻醉药缓缓推入静脉,老奶奶进入麻醉状态,原本急促的呼吸也慢慢平静下来。
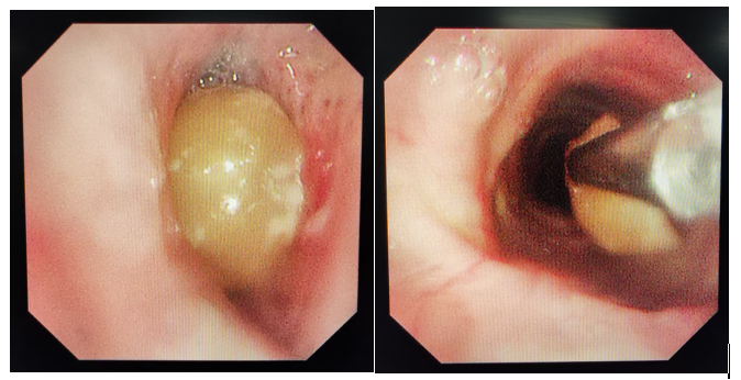
内镜医生迅速进境,只几秒钟的时间内镜已经到达了气管隆突,果然如胸部CT所示,半颗花生米牢牢的卡在右主支气管的管口,元凶已经找到,不待医生发话,内镜护士第一时间把异物钳经内镜操作孔道送至管口,整个配合如齿轮一样紧密,异物钳的钳口缓缓张开,轻巧的钳住花生米的前段,所有人都屏气凝神。
只见钳子带着花生米,先是轻轻发力摇晃了一下,从卡住的位置脱离,然后小心翼翼的一点点后退,随着花生米移动至气管最狭窄的位置,大家的神经都绷到了顶点,时间仿佛静止。小心又小心的将花生米向外拖拽,随着花生米的取出,血氧饱和度逐渐上升至100%,血压平稳,心率正常,危机解除!

这场惊心动魄的生死救援,不仅展现了医生们高超的医术和无畏的勇气,更是对生命的一次全力捍卫。在老龄化日益严重的当下,此次救治为高龄患者的紧急救治提供了宝贵的经验范例,激励着整个医疗行业不断探索、提升,为更多老年患者在绝境中点亮生命的希望之光 。
供稿 内镜中心 郭艳
审稿 朱贺变