


一纸书信寄温情,字字句句暖人心。近日,阜外华中心血管病医院收到一封饱含真挚谢意的手写感谢信,患者家属字里行间满是感激,深深致谢放射科副主任阚晓婧、主治医师王佳佳凭借严谨细致的阅片研判、高度负责的职业初心,于细微之处揪出隐匿致命病灶,及时阻断凶险病情,为患者抢下宝贵救治生机。

不久前,段女士因胸闷不适、活动后气喘前往我院就诊。此前患者长期在家乡被确诊为冠心病,此次就诊也常规完善冠状动脉造影检查,家属本以为做完排查、未见冠脉异常便可安心返乡休养,并未察觉身体潜藏着另一项致命风险。
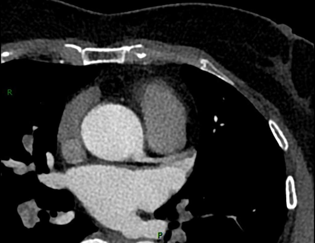
放射科副主任阚晓婧秉持精益求精、一丝不苟的阅片准则,在当日晚间细致复盘患者全部造影影像资料。常人极易忽略的细微血管异常,没有逃过她敏锐的双眼。在常规冠脉影像之外,她敏锐捕捉到患者肺动脉存在隐匿血栓病变,这一致命隐患极易被冠心病病史掩盖,一旦肺动脉完全栓塞,病情凶险、救治难度极大,随时会危及患者生命。

发现关键异常后,阚晓婧第一时间联合王佳佳主治医师,立刻致电联系患者家属,详细告知病情凶险程度,紧急提醒患者务必即刻住院接受规范诊疗,牢牢抓住黄金救治窗口期,避免血栓进展恶化、错过最佳治疗时机。正是这份不分昼夜的责任坚守、严谨缜密的临床判断,让潜藏的危重病灶早早暴露,让患者得以第一时间开展针对性治疗,规避了肺动脉完全闭塞的危重结局。
肺动脉栓塞发病隐匿、进展迅猛,致死率极高,极易被基础心脏疾病掩盖漏诊。多年来,阚晓婧始终深耕心血管影像诊断一线,坚守影像阅片第一道防线,以专业慧眼穿透病灶迷雾,以极致细心排查细微隐患。她始终坚持影像服务临床、细节守护生命,不遗漏任何一处微小异常、不放过任何一项潜在风险,日复一日在黑白影像里抽丝剥茧,用扎实专业功底、高度责任意识,为临床诊疗精准指路,为万千心血管患者筑牢健康第一道屏障。
后续诊疗中,我院血管外科副主任李晓健、副主任医师李攀峰及全体护理团队接续接力,凭借精湛高超的诊疗技术、暖心贴心的全程照护,精心制定个体化治疗方案,全方位做好患者术后康复管理,帮助患者顺利痊愈、早日恢复健康生活。


时隔多日,患者家属依旧感念医者救命恩情,专程送来手写感谢信。纸短情长,道不尽浓浓医患温情;匠心坚守,诠释着医者初心使命。
阚晓婧表示,影像诊断是临床诊疗的侦察兵,是为临床和病人保驾护航的先锋队,每一张影像、每一次研判,都关乎患者生命安危,全体阜外放射人将继续带着这份信任与嘱托,坚守影像岗位、深耕专业本领,以细致严谨、认真负责的行医态度,擦亮影像“火眼金睛”,早发现、早预警、早干预各类心血管隐匿病灶,用专业与坚守守护中原百姓心脏健康,用责任与仁心践行医者的使命担当。
本文专家
科 室:放射科
专业擅长:心血管及肺部疾病的影像诊断。
审稿专家
科 室:放射科
专业擅长:心血管疾病影像、腹盆部疾病影像以及复杂疑难病例综合影像诊断。
|文稿:邢永田|