不翼而飞的封堵器
“范院长,我家孩子患有先天性的室间隔缺损,想给孩子堵住室间隔又不想留下‘痕迹’,听说有一款可以在体内降解的封堵器,我家孩子可以用吗?”一位来自重庆的爸爸经多方打听找到了阜外华中心血管病医院副院长、儿童心脏一病区主任范太兵,满怀期待的等待着范院长的解答。
“从彩超结果上来看,孩子的室间隔缺损可以微创介入治疗,目前有一款国内首批的可降解封堵器应用到了临床,堵住室间隔缺损的同时可降解成二氧化碳和水,这样的话就保证了我们心脏没有任何产物的残存。”范院长耐心的解答着家长的疑惑。
今天,小编就和大家一起学习“补心不留痕”那些事。
一、什么是室间隔缺损呢?
室间隔缺损(VSD)是一种由于胚胎期室间隔发育不良而引起的左右心室之间存在交通,产生室水平分流的先天性心脏病。VSD是最常见的先天性心脏病,占先天性心脏病的20%-30%。封堵器作为介入治疗的植入物,用于治疗室间隔缺损(VSD)已在临床得到广泛的应用。
	
	
 
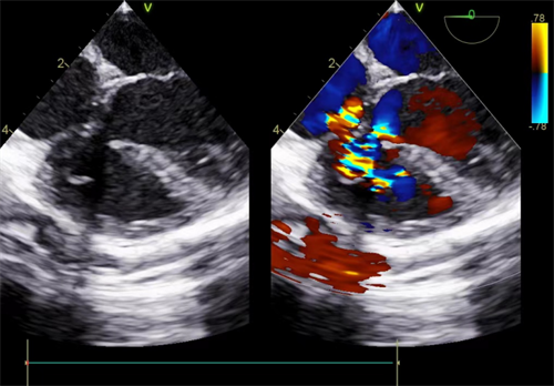
术前室缺
	
 
二、传统的室间隔封堵器是什么呢?
室间隔封堵器由镍钛金全网密集编制而成的自膨性双盘结构,可在超声引导下通过一根导管将封堵器准确的放到缺损部位,将其堵塞。相对于开胸手术治疗而言,介入传统封堵器治疗有创伤小、恢复快、并发症少等优点。但是植入人体的封堵器是由镍钛金丝编制而成的,将永久存在人体内,不仅可能诱发传导阻滞等并发症,还可能对患儿以后工作选择受到限制。因此,可降解封堵器开启室间隔缺损治疗的新局面。
三、可降解封堵器又是什么呢?
可降解封堵器是由降解高分子的聚乳酸材质编织而成,其骨架结构由聚对二氧环已酮(PDO)编制,在人体内的降解开始于6个月左右,12个月基本降解,最终降解产物是二氧化碳和水。封堵器阻流膜由聚左旋乳酸(PLLA)制备,在人体内的降解开始于12个月左右,2年内基本降解。可降解封堵器作为暂时的“桥梁”引导内膜组织沿封堵器边缘覆盖封堵器及缺损,在封堵器完全降解之前,自身的内膜组织可将缺损补好。可降解封堵器在治疗缺损的同时实现了体内无异物残留,真正做到了“补心不留痕”。
	
	
 
可降解封堵器 室缺封堵后
	
四、可降解封堵器的的优点在哪?
1.与传统的封堵器比较来说,可降解封堵器最后降解成二氧化碳和水,减少与金属装置有关的长期并发症发生。
2.可降解封堵器最终降解成二氧化碳和水排出体外,放射线下不显影,对步入社会有更多的就业机会选择。
3.对于患儿及家庭来说,能更好的融入社会,减少了消极情绪,增强自信心。
	
	
 
随访三年后
	
五、介入可降解封堵器术后需要注意什么?
1.减少孩子的哭闹,稳定情绪。经过介入手术治疗后的孩子和正常孩子一样,家长也不用过度的溺爱、多度的迁就。科学的积极引导,给予孩子足够的安全感,让孩子有一颗阳光的心态,促进孩子健康的生活方式。
2.避免剧烈的活动,循序渐进的指导孩子户外活动。对于相对简单的先天性心脏病,比如,室间隔缺损、房间隔缺损、动脉导管未闭等可在术后1个月正常的上学,做一些相对较轻的体育活动。家长和学校引导孩子逐步增大活动力度,让孩子一步一步的融入校园和社会中。
3.遵医嘱用药。家长作为第一监护人,不可私自给孩子停药或加大药物剂量。如果出现一些不良反应或者漏服,应该第一时间和医生联系,及时去医院就诊。
4.预防感染。尽量不去人员密集的公共场所,尤其是疫情期间,做好个人防护,外出正确佩戴口罩,勤洗手,多通风,减少呼吸道疾病的传播。
5.定期复查。先天性心脏患儿封堵术后,一般在出院一个月、3个月、6个月时到医院进行心脏彩超等相关检查。
	
供稿 儿童心脏中心重症监护室 岳晓丽
供图 儿童心脏中心一病区 宋书波
审稿 朱贺变